Corsi
Iscrizione TricoItalia
Area Riservata
Corsi
Iscrizione TricoItalia
Area Riservata
search
Home
Chi Siamo
–
TricoItalia
Chi Siamo
Di cosa ci occupiamo
Comitato Scientifico TRICOITALIA
Regolamento utilizzo marchi
Protocolli di Comportamento TricoItalia
Iscrizione a TricoItalia
Dott. Andrea Marliani
Contenuti
–
del sito
News
Articoli e Pubblicazioni
Giornale Italiano di Tricologia
Libri Cartacei Shop
Download Libri pdf gratuiti
Video
Vademecum della Calvizie
Servizi
–
Per tutti
Auto Diagnosi Assistita in Tricologia
Trova il Tecnico
Trova il Tecnico Tricologo
Trova il Tecnico Acconciatore
Trova il Microscopista
Trova lo Psicologo-Psicoterapeuta
Trova il Farmacista Preparatore-Cosmetologo
Trova il Protesista
Trova il Tricopigmentista
Domande di Tricologia
Pubblico Registro Dei Medici Tricologi
Prossimi Eventi
–
Corsi TricoItalia
Microscopia
–
in Luce Polarizzata
Tricogramma
Analisi in Luce Polarizzata
Shop
–
Libri
Shop on-line
Carrello
Cassa
Contatti
Main Menu
Home
Chi Siamo
Chi Siamo
Di cosa ci occupiamo
Comitato Scientifico TRICOITALIA
Regolamento utilizzo marchi
Protocolli di Comportamento TricoItalia
Iscrizione a TricoItalia
Dott. Andrea Marliani
Contenuti
News
Articoli e Pubblicazioni
Giornale Italiano di Tricologia
Libri Cartacei Shop
Download Libri pdf gratuiti
Video
Vademecum della Calvizie
Servizi
Auto Diagnosi Assistita in Tricologia
Trova il Tecnico
Trova il Tecnico Tricologo
Trova il Tecnico Acconciatore
Trova il Microscopista
Trova lo Psicologo-Psicoterapeuta
Trova il Farmacista Preparatore-Cosmetologo
Trova il Protesista
Trova il Tricopigmentista
Domande di Tricologia
Pubblico Registro Dei Medici Tricologi
Prossimi Eventi
Microscopia
Tricogramma
Analisi in Luce Polarizzata
Shop
Shop on-line
Carrello
Cassa
Contatti
Alopecia Areata
Alopecia Areata
Home
/
Alopecia Areata
lunedì
12
Giu
Alopecia Areata
sitriadmin
/
/
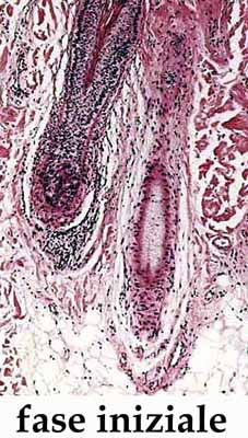
Immagine istopatologica di Alopecia Areata in fase iniziale
sitriadmin
Tricoitalia
Servizi
Iscriviti alla Newsletter
Email
Seguici